Tochimoto:Zingiberis Rhizoma

From Metabolomics.JP
(Difference between revisions)
Jump to: navigation, search
Line 195: Line 195:
 
|-
 
|-
 
|[[Image:Tochimoto-Ginger-生姜・雲南J.jpg|1000x300px]]
 
|[[Image:Tochimoto-Ginger-生姜・雲南J.jpg|1000x300px]]
|[[Image:Tochimoto-Ginger-生姜・貴州J.jpg|11000x300px]]
+
|[[Image:Tochimoto-Ginger-生姜・貴州J.jpg|1000x300px]]
|[[Image:Tochimoto-Ginger-生姜・日本J.jpg|1000x300px]]
+
|[[Image:Tochimoto-Ginger-生姜・日本J.jpg|1000x200px]]
 
|[[Image:Tochimoto-Ginger-生姜・インドJ.jpg|1000x300px]]
 
|[[Image:Tochimoto-Ginger-生姜・インドJ.jpg|1000x300px]]
 
|-
 
|-
Line 207: Line 207:
 
|[[Image:Tochimoto-Ginger-生姜・貴州・維管束J.jpg|150px]]
 
|[[Image:Tochimoto-Ginger-生姜・貴州・維管束J.jpg|150px]]
 
|[[Image:Tochimoto-Ginger-生姜・日本・維管束J.jpg|150px]]
 
|[[Image:Tochimoto-Ginger-生姜・日本・維管束J.jpg|150px]]
|[[Image:Tochimoto-Ginger-生姜・インド・維管束J.jpg|150px]]
+
|[[Image:Tochimoto-Ginger-生姜・インド・維管束J.jpg|100px]]
 
|}
 
|}
 
</center>
 
</center>

Revision as of 17:49, 22 November 2010

Contents

生姜、乾姜

『日本薬局方 第15改正(JP15)』

  • 生姜 乾生姜:ZINGIBERIS RHIZOMA
ショウガZingiber officinale Roscoe(Zingiberaceae) の根茎
  • 乾姜:ZINGIBERIS PROCESSUM RHIZOMA
ショウガZingiber officinale Roscoe(Zingiberaceae) の根茎を湯通しまたは蒸したもの

以上2種が規定されている。

  • 日本薬局方では、ショウガの新鮮な根茎は収載されていない。

『中華人民共和国薬典2005年版』

  • 生姜:RHIZOMA ZINGIBERIS RECENS
姜Zingiber officinale Rosc.の新鮮な根茎
  • 干姜:RHIZOMA ZINGIBERIS
姜Zingiber officinale Rosc.の干燥した根茎
  • 炮姜:RHIZOMA ZINGIBERIS PRAEPARATUM
干姜の炮制加工品

以上3種が規定されている。

『大韓薬典 第9改正』

  • 건강 乾薑:ZINGIBERIS RHIZOMA
생강Zingiber officinale Roscoeの根茎を乾燥したものと規定されている。

『大韓薬典外生薬規格集2007年』

  • 생강 生薑:ZINGIBERIS RHIZOMA CRUDUS
생강Zingiber officinale Roscoeの新鮮な根茎と規定されている。

市場流通品と現状

 乾燥したショウガは主に食品用として、中国、タイ、台湾、インドなどから、年間約30,000トン輸入されている。日本市場で薬用に用いられるのは中国産生姜で、皮を去って乾燥した「生姜塊」と、湯通しもしくは蒸した後に乾燥した「赤肉乾姜」がある。中国南部の各省で生産され、以前は硫黄燻蒸で漂白した生姜が主に流通していたが、残留二酸化硫黄やオゾン層破壊などが問題となり、現在では無硫黄(硫黄燻蒸を施していない)生姜が輸入され、外観色が少し褐色を帯びている。

生 姜

生姜は中国雲南省、貴州省、広西壮族自治区などの産地があり、特に雲南生姜は肉厚で良品とされているが、生薬を鑑別して産地を特定するのは困難で、産地による優劣よりも生産単位による品質差が大きい。

特殊な生姜として辛味が強いといわれる日本産の金時ショウガを、皮付きで乾燥した「金時生姜」も、少量流通している。皮付きで乾燥したインド産なども、漢方エキス製剤の原料に用いられることがある。

乾 姜

 「赤肉乾姜」は中国の一部の地区で生産されていた加工方法で、日本で乾姜として流通させたものである。インド、ビルマ産などの乾姜は、中国の加工業者が安価な新鮮ショウガを現地で加工させたもので、中国産として日本に輸入される。 現在の中国産「赤肉乾姜」は、繊維質が多く内部の色調も光沢のない赤褐色が多いため、良品とはいえない。

インドなど中国周辺地域の加工品は、中国産と比べて小ぶりで肉厚、繊維質も少なく内部の色調は赤褐色の光沢のある濃い飴色で、経験的鑑別において好まれる。日本市場では中国産として流通している。

乾姜内面色調

Tochimoto-Ginger-カンキョウ-断面-03.jpg
乾姜内面色調:(上段左から)中国雲南省、中国貴州省、中国広西壮族自治区、インド、ビルマ


生産加工状況

 薬用のショウガは、3月に種芋を植え付け、11月中旬から12月中旬に掘り上げて乾燥する。

栽培地:中国広西省金秀瑶族自治県

皮去り・乾燥工程:中国雲南省羅平県

小規模農家の正確な軒数は不明であるが、おそらく生姜を栽培している農民だけでも4万人以上と推測される。平均農地は100~150坪/軒。生産量は新鮮なショウガで約80,000トン/年。

1997年当時の加工風景

1997年当時の加工風景だが、大きな違いは皮去り作業を全て手作業で行っていたことにより、完全に皮去りができていたことである。 現在流通している生姜は機械で皮去りを行うため、一部に皮が残っているが、当時の生姜には残皮は見あたらなかった。 加工に機械が導入されたのは、農業地域の労働者の減少や、賃金の高騰の影響と考えられる。

理化学的品質評価

生姜 : 産地別理化学試験 DATA
対象:1985年~2009年市場品(一部、蒐集サンプルを含む) Mean±SD(%)
産地 検体数 灰分
8.0%以下
酸不溶性灰分 乾燥減量 希エタノール
エキス含量
中国ALL 153 3.9 ±0.8 0.2 ±0.2 12.2 ±2.6 14.8 ±2.9
日本ALL 50 5.6 ±1.0 0.6 ±0.2 13.8 ±2.1 15.3 ±3.8
中国・雲南 87 3.7 ±0.5 0.2 ±0.1 11.8 ±2.8 14.3 ±2.1
中国・貴州 26 3.8 ±0.5 0.2 ±0.1 13.2 ±2.2 15.2 ±2.1
中国・広西 9 4.7 ±0.8 0.3 ±0.1 12.5 ±1.5 15.2 ±1.7
日本・静岡 8 5.1 ±0.9 0.5 ±0.2 14.0 ±1.6 18.9 ±2.6
日本・愛知 6 6.1 ±0.9 0.6 ±0.1 12.5 ±1.3 19.4 ±1.2


灰分 
日本ALL > 中国ALL ( p < 0.05 )
希エタノールエキス含量 
日本ALLと中国ALL に有意差無し
グラフ1
生姜 : 産地別理化学試験 DATA (成分含量:[6]-gingerol) グラフ1
日本ALL > 中国ALL ( p < 0.05 ) 
日本 : 愛知と静岡に有意差無し
中国 : 広西 > 貴州,雲南 ( p < 0.05 ) 
乾姜 : 産地別理化学試験 DATA
対象:1985年~2009年市場品(一部、蒐集サンプルを含む) Mean±SD(%)
産地 検体数 灰分
6.5%以下
酸不溶性灰分
1.5%以下
乾燥減量
15%以下
希エタノール
エキス含量8.0%以上
中国ALL 51 5.1 ±0.9 0.7 ±0.3 12.9 ±1.1 14.1 ±1.8
中国・広東 23 5.0 ±1.1 0.6 ±0.3 13.1 ±1.1 15.2 ±3.1
中国・広西 9 5.2 ±0.5 0.8 ±0.2 13.6 ±0.8 13.7 ±1.1
日本・愛知 6 6.3 ±0.9 1.4 ±0.4 13.7 ±3.4 17.6 ±1.0
灰分 
日本 愛知 > 中国ALL ( p < 0.05 )
希エタノールエキス含量 
日本 愛知 > 中国ALL ( p < 0.05 )
グラフ2
乾姜 : 産地別理化学試験 DATA (成分含量:[6]-gingerol & [6]-shogaol) グラフ2
[6]-gingerol 
日本 愛知 > 中国ALL ( p < 0.05 )
中国 広東と広西に有意差無し
[6]-shogaol 
中国ALL > 日本 愛知 ( p < 0.1 )
中国 広東 > 中国 広西 ( p < 0.1 )
生姜と乾姜の比較
灰分 
乾姜 > 生姜 ( p < 0.05 )
希エタノールエキス含量 
有意差無し
[6]-gingerol 
生姜 > 乾姜 ( p < 0.05 )

内部形態:鏡検

生姜(ショウキョウ、乾生姜)

JP15:内部形態についての記載はない。

生薬の性状

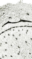
本品は偏圧した不規則な塊状でしばしば分枝する。分枝した各部はやや湾曲した卵形又は長卵形を呈し、長さ2~4cm、径1~2cmである。外面は灰白色~淡灰褐色で、しばしば白粉を付けている。折面はやや繊維性、粉性で、淡黄褐色を呈する。横切面をルーぺ視するとき、皮層と中心柱は明瞭に区別され、その全面に維管束及び分泌物が暗褐色の細点として散在する。 本品は特異なにおいがあり、味は極めて辛い。

産地による比較
生姜 <中国雲南省> 生姜 <中国貴州省> 生姜 <日本> 生姜 <インド>
Tochimoto-Ginger-生姜・雲南J.jpg Tochimoto-Ginger-生姜・貴州J.jpg Tochimoto-Ginger-生姜・日本J.jpg Tochimoto-Ginger-生姜・インドJ.jpg
維管束 維管束 維管束 維管束
Tochimoto-Ginger-生姜・雲南・維管束J.jpg Tochimoto-Ginger-生姜・貴州・維管束J.jpg Tochimoto-Ginger-生姜・日本・維管束J.jpg Tochimoto-Ginger-生姜・インド・維管束J.jpg

乾姜(カンキョウ)

生薬の性状

本品は偏圧した不規則な塊状でしばしば分枝する。分枝した各部はやや湾曲した卵形又は長卵形を呈し、長さ2~4cm、径1~2cmである。外面は灰黄色~灰黄褐色で、しわ及び輪節がある。折面は褐色~暗褐色で透明感があり角質である。横切面をルーペ視するとき皮層と中心柱は区分され、全面に維管束が散在する。 本品は特異なにおいがあり、味は極めて辛い。 本品の横切片を鏡検するとき、外側よりコルク層、皮層、内皮、中心柱が認められる。皮層と中心柱は一層の内皮によって区分される。皮層及び中心柱は柔組織からなり、繊維束で囲まれた維管束が散在する。柔組織中には黄色の油よう物質を含む油細胞が散在し、柔細胞中にはシュウ酸カルシウムの単晶が含まれ、でんぷんはのり化している。

乾姜(赤肉干姜) <中国広東省>
Tochimoto-Ginger-赤肉干姜・広東J.jpg
維管束
Tochimoto-Ginger-赤肉干姜・広東・維管束J.jpg
Personal tools
Namespaces

Variants
Actions
Navigation
metabolites
Toolbox